「第三豚 レジンでもりもり歯を治そう!」

こんにちは!4月頭は桜がキレイだったとん!
ちょっと桜の花を食べてみたけど美味しくなかったぶ。

ぼくは「きっちょむ」って言うとん。
なのはな歯科・口腔クリニックの守り神だよ。
神様になってからまだ1年も経ってないけど歯のことは何故か詳しいとん。
先月、麻酔が入手困難なこと言ってたけど、だいぶ落ち着いてはきたぶ。
ただ、今度はナフサ不足で、グローブだったりエプロンが全然手に入らなくなっちゃった・・・
通常の3倍で売りつけようとするアコギな業者まで現れるし、コロナ禍を思い出してげんなりだぶ。
それでも患者さんが来てくれる以上は頑張るしかないぶ!
今日も張り切って解説してくぶ!
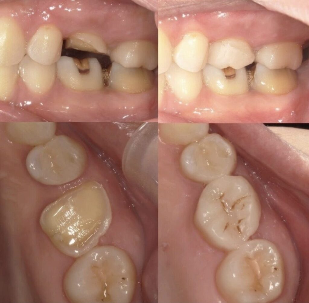
今回は歯医者さんで最も行われている治療のCR(コンポジットレジン)充填についてお話しようと思うとん!
最近ではおもちゃやアート作品にも使われていたりして意外と日常生活でも馴染みあるものになってきたとん。
コンポジットってのは訳すと複合とか合成とかいう意味だから、コンポジットレジンは合成レジン(合成樹脂材料)って覚えてもらうといいとん。
以下、CRと表記するとん。
CRの成分とかは後で言及するとして、このCRを使って、虫歯を削った穴に詰め物をするのが「CR充填」と呼ばれ歯医者さんで一番行われている治療だと思うとん!
昔は、アマルガムっていう詰め物もあったんだけど、水銀が入っているから使われなくなったとん!
今でもたまにアマルガムが入っている患者さんを見かけるけど、当時のゴッドハンドたちが行ったアマルガム治療は素晴らしいものも多いので、敢えてとる必要はないかなと思うとん。むしろ削っているときの方が水銀飛び散るから、そのままでいいんじゃないかと僕は思うとん。
アマルガムのせいで全身疾患が引き起こされるーーーー!!!
みたいな宗教本もあるけど、それを信じるか信じないかはあなた次第ぶ。
ちょっと脱線したけどCRに話を戻すとん。
CRはアマルガム(金属色)と違って白くてキレイだとん!
最近ではカメレオン効果って勝手に周りの歯の色と馴染んでくるCRも出てきているとん!


でも実際は微妙に色が合わなかったりするからより審美的に行いたい患者さんのために、なのはな歯科・口腔クリニックではいろいろCRを用意しているぶ。
最初、自費でやろうかなとか思っていたけど、面倒だから保険でガンガン使っちゃっているぶ。
こいつらはめっちゃ高いぶ。
当然、CRのランクによって値段は数千円単位で違うぶ!
でも保険はすべて同じ値段なのでもうこれは院長、頭オカシイとしか言えないぶ。
他にも、金属色を遮断するCR、土台を立てるのに向いているCR、歯茎の際で使ってギャップの少ないCRなどなど、向き不向きを考えながら使っているとん!
とりあえず、なのはな歯科・口腔クリニックではこんだけのCRを用意しているよ。





先にも言ったけど、どんなCRでも保険の値段は一緒だぶ。
どこで作っているか分からんめちゃくちゃ安いCRも、精度も色もいい高いCRも同じで、特に国で定められているCRとかもないとん!
なのでどういう材料を使うかは完全に院長判断で、経営だけ考えるか、患者に資するかはトップの裁量にかかっているとん。
【それって私の感想ですから…のコーナー】
突然だけどSNSって怖いとん!
コンプライアンスなんて「薬剤順守(医師の指示通り薬剤を服用すること)」の医療用語だと思ってたら、昨今ではみんなコンプラ、コンプラ、言いたいことも言えないこんな世の中になってしまったとん!
ここに書いてる内容はちゃんと論文だったり教科書だったりエビデンスのしっかりしたものを記載しているつもりだけど、ちょむの「お気持ち」も少し入っちゃってるのは否定できないぶ。
「それってあなたの感想ですよね?」って言われる前にちょむの感想だって言っておくぶ!!!
そんな一部界隈で怒られそうな「ダイレクトボンディング」についてお話するとん!
ダイレクトボンディングはお口の中で直接CRを盛り付けて即日で歯の形をつくる治療法だとん!
定義だけ聞くと、普通のCRと何ら変わりないとん!
大きな違いが「保険」でやるか「自費」でやるかだとん!
保険のCRは基本的に小さな欠損に使うことが多いとん、対してダイレクトボンディングは普通かぶせ物を作るような大きな欠損にも適用したり、より審美的に行う治療だとん!
歯の形態への深い理解や、手先の器用さなど、本当に技術が必要なスペシャリストによる治療だとん!
治療費は2万~8万くらいだけど医院や治療範囲によって値段は変わる感じだね。
げ・ん・み・つに言えば、虫歯の無いすきっ歯の治療をCRで埋める行為は保険では認められていないぶ!
保険において「審美(見た目)」って言葉は禁句だぶ!
新規指導(開業後すぐに国から入る指導)でポロっと審美って言ってしまった悪夢を思い出すぶ。
あくまで保険の治療は機能の回復であって見た目は関係ないぶ!
「手術を併用する矯正」や「病気による骨欠損に対する顎骨移植とともに行うインプラント」などは保険で認められているのはそのためだぶ。
なので、すきっ歯の治療を自費でダイレクトボンディングするのはいいことだと思うぶ!
ただ、奥歯の大きな欠損とかは普通にセラミックで治した方がいい気がするぶ。
即日治療も今やセラミックも可能になったから、優位性が失われちゃったしね。
院長も前にやってて、後悔してたけど、いい材料で詰めたCRは4年経っても全くかけないぶ!

なんで、どうしても余計なところは一切削らずに修復したいんだー!って方にはいいのかもしれないけど、費用対効果的にどうなの?って思っちゃうぶ。
なのはな歯科・口腔クリニックでも一応治療する道具はあるので、興味があったら相談してぶ。


まぁ、でも院長は保険でも自費クオリティをやるんだーってほざいてたから、CRに関しては自費を勧めることは無いと思うぶ。
めっちゃ高倍率のルーペ買ってから精密治療するの楽しそうだしね。

あとあと、開業してからすごく研磨を意識していると言ってたぶ!
勤務医だった頃の数倍、研磨しているらしいぶ。
CRには吸水膨張ってのがあって、少し時間たってからズレてくることがあるぶ。
昔、詰めたプラスチックの色が変色したり、天然歯の堺に汚れがついているのはこれぶ!
大学だと、詰めた後、24時間後に研磨~みたいなことも聞いたことあったけど、患者さんも忙しいぶ!
そんな毎日来られるほど暇じゃないと思うとん。
だから、極力一日で段差がないようにキレイに仕上げることを心がけているらしいよ?
【専門用語のコーナー~よりディープな歯科の世界へ行きたいあなたへ~】
・再石灰化療法
初期のエナメル質う蝕では、唾液中の無機イオンや破壊された病巣周辺に存在する無機イオンが石灰化成分の補給を受けて再石灰化することが明らかになっている。
そのため、エナメル質に限局し、表面がそれほど破壊されていない平滑面での白斑の状態であれば口腔清掃をし、フッ化物塗布を行うことで再石灰を促すことがある。
🐽きっちょむくんから一言
よく、歯医者さんでC1とかC2とか言ってるのが虫歯の進行度を表しているぶ!
その中でCOは要観察歯(Caries under Observation)で虫歯と判定するには困難であるが、虫歯の初期病変を疑わせる歯のことをいうとん!
黒くてもエナメル質の軟化であったり、実質欠損がなければ再石灰を期待して経過観察をすることが多くあるとん!
・エッチング
リン酸などの酸性薬剤を用いて歯の表面を微細に脱灰し、接着剤やCRの保持力を向上させる下処理。
🐽きっちょむくんから一言
エッチングは歯の表面をザラザラにしてCRが付きやすくする処理だよ!
ただ、硬いエナメル質エッチングをするのはいいんだけど、象牙質って内側をエッチングするのは逆に接着力下げちゃうこともあるのでセレクティブエッチング(エナメル質のみをエッチング)っていう方法が推奨されているよ。
・コンポジットレジンの組成
有機成分としてマトリックスを構成し、硬化して高分子となるモノマー、無機成分としてガラスを主成分としたフィラーをシランカップリング剤で表面処理したものにより構成される。
🐽きっちょむくんから一言
え?なんかの呪文かぶ?
有機マトリックス、いわゆるモノマーというベースに、機械的強度や耐摩耗性を与えてくれるフィラーっていうセラミックの粒子を混ぜ混ぜして、モノマーとフィラーをくっつけるために配合されているのがシランカップリング剤って材料だぶ。
よくプラスチックなんて呼ばれるけど最近のCRはかなり高性能になってきたぶ!
CRは歯医者さんの治療で最も行われている治療といっても過言じゃないとん!
どんどん材料も改良されているけど、術者のスキルも高めていけないとダメだとん!
今後もがんばるぶー!
来月は「こんなにたくさんあるの?かぶせ物」をお送りするとん!
みどり市鹿、大きなスーパーの前にある歯医者さん。
地域の歯科医療発展のためにがんばっています!
群馬県みどり市笠懸町鹿3926-1
電話番号 0277-32-4182
医療法人miyabi なのはな歯科・口腔クリニック